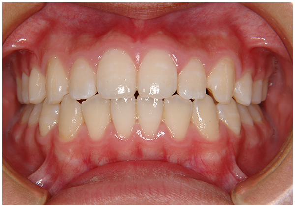
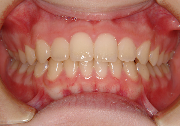
開咬:歯をかみ合わせたときに前歯が噛み合わず開いた状態のことを言います。
前歯は噛みあっているのに奥歯が噛みあっていない開いた状態も開咬です。前歯で食べ物がかみ切れず発音で息がもれることもあります。
治療前






治療後





<主訴>
前歯で咬みきれない
<診断名あるいは主な症状>
開咬
<年齢>
12歳
<治療に用いた主な装置
タングクリブ、マルチブラケット装置
<抜歯部位>
非抜歯
<治療期間>
タングクリブのみを1年間使用し、舌の悪習癖を改善後マルチブラケット装置にて1年4ヶ月
<通院回数>
治療16回 観察10回
<治療費概算>
検査診断料¥50,000+施術料および装置費用¥500,000+調節料¥5,000×16回+観察料¥3,000×10回 総額¥660,000(税抜き)
<リスク副作用について>
装置の使用状況、顎間ゴムの使用状況、定期的な通院等、矯正治療には患者さんの協力が非常に重要であり、それらが治療結果や治療期間に影響します。
治療中は、装置が付いているため歯が磨きにくくなります。むし歯や歯周病のリスクが高まりますので、丁寧に磨いたり、定期的なメンテナンスを受けたりすることが重要です。また、歯が動くと隠れていたむし歯が見えるようになることもあります。

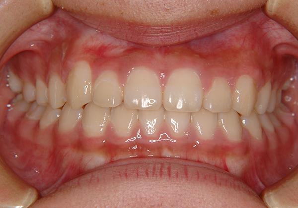
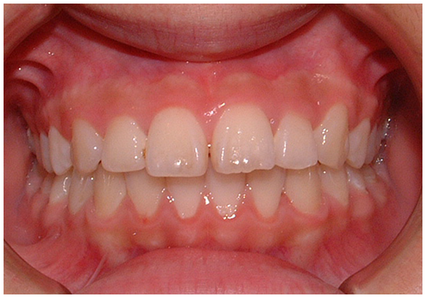
出っ歯:出っ歯とは、下の歯に比べて、上の歯が前に出ている状態をいいます。別名を上顎前突といいます。
治療前






治療後





<主訴>
出っ歯
<診断名あるいは主な症状>
上顎前突
<年齢>
10歳
<治療に用いた主な装置
アクチベーター
<抜歯部位>
非抜歯
<治療期間>
2年
<通院回数>
治療12回 観察6回
<治療費概算>
検査診断料¥50,000+施術料および装置費用¥145,000+観察料¥3,000×18 総額¥249,000(税抜き)
夜間使用のマウスピースのみできれいなかみ合わせになりました。
<リスク副作用について>
歯の動き方には個人差があります。そのため、予想された治療期間が延長する可能性があります。
装置の使用状況、顎間ゴムの使用状況、定期的な通院等、矯正治療には患者さんの協力が非常に重要であり、それらが治療結果や治療期間に影響します。

反対咬合:前歯は、普通は上が外側、下が内側になって噛み合わせるようになっています。 これが反対になっている状態を、受け口(反対咬合)といいます。
治療前






治療後





<主訴>
うけ口・がたがた
<診断名あるいは主な症状>
反対咬合
<年齢>
11歳
<治療に用いた主な装置
マルチブラケット装置
<抜歯部位>
非抜歯
<治療期間>
1年10ヶ月
<通院回数>
治療20回 観察8回
<治療費概算>
検査診断料¥50,000+施術料および装置費用¥500,000+調節料¥5,000×20回+観察料¥3,000×8回 総額:¥674,000(税抜き)
夜間使用のマウスピースのみできれいなかみ合わせになりました。
<リスク副作用について>
装置の使用状況、顎間ゴムの使用状況、定期的な通院等、矯正治療には患者さんの協力が非常に重要であり、それらが治療結果や治療期間に影響します。
治療中は、装置が付いているため歯が磨きにくくなります。むし歯や歯周病のリスクが高まりますので、丁寧に磨いたり、定期的なメンテナンスを受けたりすることが重要です。また、歯が動くと隠れていたむし歯が見えるようになることもあります。
歯を動かすことにより歯根が吸収して短くなることがあります。また、歯ぐきがやせて下がることがあります。

叢生:叢生(そうせい)とは顎のスペースに対して歯が並ばず、歯が重なって生えている状態をいいます。
治療前





治療後





<主訴>
前歯のがたがた
<診断名あるいは主な症状>
叢生、上顎前突
<年齢>
12歳
<治療に用いた主な装置
マルチブラケット装置
<抜歯部位>
非抜歯
<治療期間>
1年6ヶ月
<通院回数>
治療14回 観察8回
<治療費概算>
検査診断料¥50,000+施術料および装置費用¥500,000+調節料¥5,000×14回+観察料¥3,000×8回 総額:¥644,000(税抜き)
歯を抜かずにきれいなかみ合わせになりました。
<リスク副作用について>
装置の使用状況、顎間ゴムの使用状況、定期的な通院等、矯正治療には患者さんの協力が非常に重要であり、それらが治療結果や治療期間に影響します。
治療中は、装置が付いているため歯が磨きにくくなります。むし歯や歯周病のリスクが高まりますので、丁寧に磨いたり、定期的なメンテナンスを受けたりすることが重要です。また、歯が動くと隠れていたむし歯が見えるようになることもあります。
装置が外れた後、保定装置を指示通り使用しないと後戻りが生じる可能性が高くなります。